Случай успешного закрытия ДМЖП с последующим одномоментным стентированием обеих легочных артерий у пациента после ранее выполненной радикальной коррекции ОАС
Пациент А, 4 года
Диагноз: Общий артериальный ствол тип 1. Отхождение общего Артериального ствола от правого желудочка. Недостаточность трункального клапана 2 ст.
В 2005 году выполнена радикальная коррекция порока с использованием ксеноперикардиального кондуита № 17 и биологического протеза БиоЛаб № 17
При ангиокардиографическом обследовании в 2007 году выявлена реканализация ДМЖП и стенозы устьев обеих легочных артерий.
Первым этапом выполнено эндоваскулярное закрытие ДМЖП устройством Amplatzer Membranous Septal Ventricular Occluder 6.0 мм
Спустя 3 месяца одномоментное биллатеральное стентирование устьевых стенозов легочных артерий
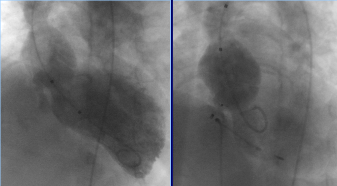
15.01.08 г. Пациент А, 4 года
Диагноз: Состояние после радикальной коррекции общего артериального ствола 1 типа с использованием ксеноперикардиального кондуита № 17 и биологического протеза БиоЛаб № 17 (05.2007 г.). Реканализация ДМЖП, устьевые стенозы обеих легочных артерий. Надклапанный стеноз аорты. Недостаточность кровообращения 2 А ст.
Операция: Закрытие реканализированного ДМЖП устройством Amplatzer Menbranous Septal Ventricular Occluder 6.0 мм

17.04.08 г. Пациент А, 4 года
Диагноз: Состояние после радикальной коррекции общего артериального ствола 1 типа с использованием ксеноперикардиального кондуита № 17 и биологического протеза БиоЛаб № 17 (05.2007 г.). Реканализация ДМЖП, устьевые стенозы обеих легочных артерий. Надклапанный стеноз аорты. Недостаточность кровообращения 2 А ст.
Операция: Одномоментное стентирование устьевых стенозов обеих легочных артерий
RUS
ENG




