Клинический случай реканализации, ангиопластики и стентирования хронической окклюзии ствола ЛКА
Реканализация, баллонная ангиопластика и стентирование хронической окклюзии основного ствола ЛКА


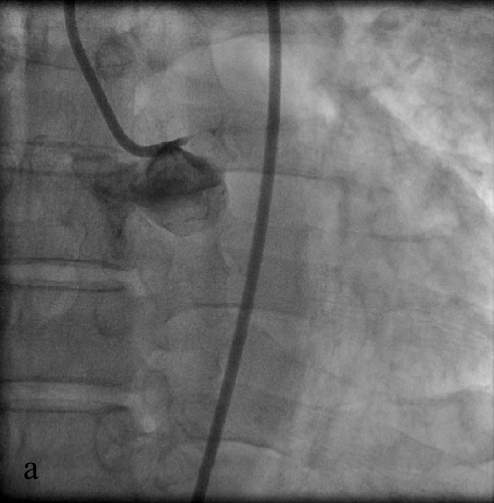
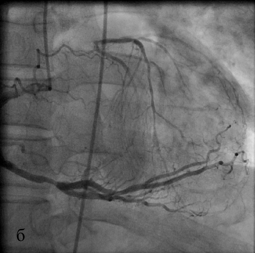
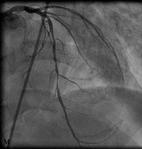
На исходных коронарограммах выявляются тотальная окклюзия ствола ЛКА (а), система ЛКА заполняется по межсистемным коллатералям из бассейна ПКА (б).



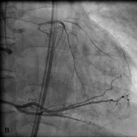
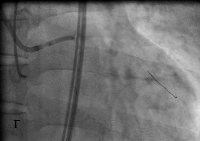
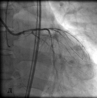
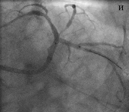
Коронарный проводник проведен за зону окклюзии, что подтверждено при выполнении коронарографии из ПКА (в), после чего выполнена баллонная ангиопластика окклюзированного ствола ЛКА (г). При контрольной коронарографии система ЛКА заполняется антеградно (д).



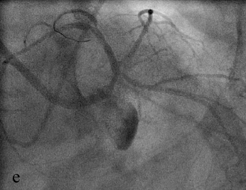
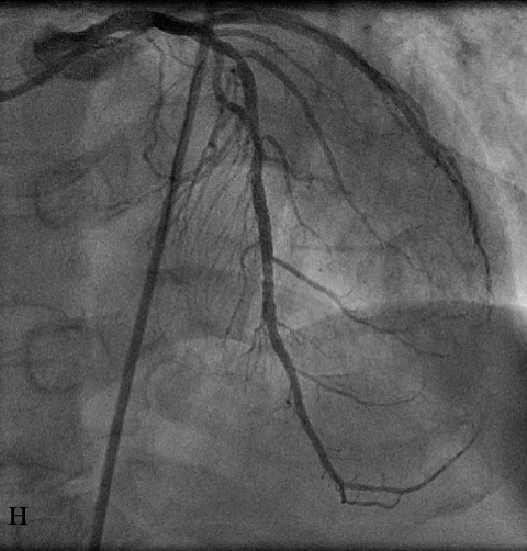
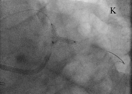
В связи с наличием выраженного стеноза устья ОВ (е) выполнена предилатация по методике «целующихся» баллонов (ж), после чего в ствол ЛКА с переходом на проксимальный сегмент ПМЖВ был имплантирован стент Cypher (з).
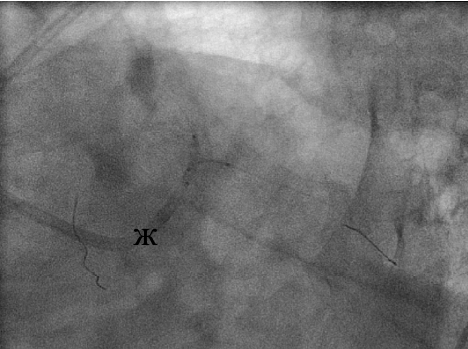
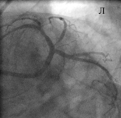
В устье ОВ с переходом на ее проксимальный сегмент был имплантирован стент XienceV (и), после чего выполнена постдилатация по методике «целующихся» баллонов (к). При контрольной КГ стентированные сегменты проходимы, достигнут хороший ангиографический результат (л).


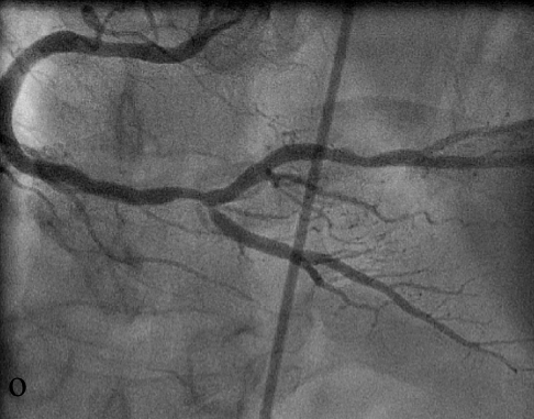
В связи с наличием выраженного пролонгированного стеноза на границе среднего и дистального сегментов ПМЖВ (м) в область сужения был имплантирован стент Cypher с хорошим ангиографическим результатом (н).


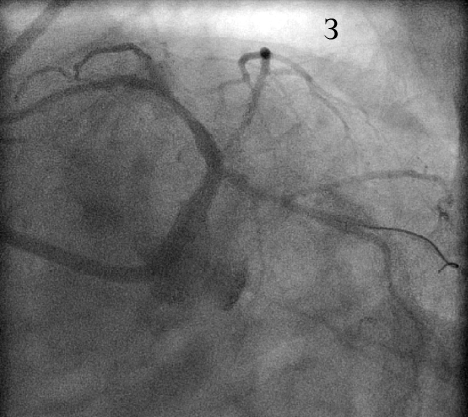
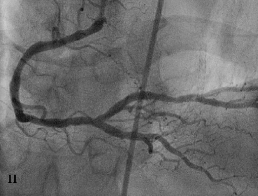
При коронарографии ПКА выявлен выраженный стеноз дистального сегмента ПКА с переходом на устье ЗМЖВ (о). В дистальную треть ПКА с переходом на устье ЗМЖВ был имплантирован стент XienceV, сужение устранено, достигнут хороший ангиографический результат (п).
Заключение
Рентгеноэндоваскулярные методы лечения могут с успехом применяться даже при таких сложных формах множественного поражения венечных артерий, как хроническая тотальная окклюзия ствола ЛКА и диффузные сужения ПМЖВ и ПКА. Использование стентов с лекарственным антипролиферативным покрытием позволяет добиваться благоприятных отдаленных клинических результатов.
RUS
ENG




