Эндоваскулярное закрытие гигантской аневризмы позвоночной артерии
Бокерия Л.А., Алекян Б.Г., Никитина Т.Г., Пирцхалашвили З.К.,
Макаренко В.Н., Петросян К.В., Вишнякова М.В., Шумилина М.В.,
Ваничкин А.В., Базарсадаева Т.С.
НЦ ССХ им. А.Н. Бакулева РАМН, Москва
Аневризма позвоночной артерии является редкой патологией, которая требует точной и своевременной диагностики с целью определения оптимальной тактики хирургического лечения. Хирургическое клипирование является сложной операцией, а в некоторых случаях невозможной ввиду плохой визуализации истинного перешейка аневризмы (1,10). В последние годы возросла роль эндоваскулярной хирургии в лечении спинальных аневризм (2,3,4). Использование металлических стентов и спиралей в ряде случаев стали альтернативой хирургическому лечению аневризмы позвоночной артерии (5,6,8,9,11,12). Результаты эндоваскулярной хирургии во многом зависят от размеров перешейки аневризмы. Так, по данным ряда авторов (7), при размерах перешейка аневризмы до 4 мм полной ангиографической окклюзии удается достичь в 85% случаев, а при аневризмах с широкой перешейкой полная окклюзия достигается менее чем в 15% случаев. Так, Higashida и соав. (13) сообщили об успешном использовании Palmatz-Shats стента и платиновых спиралей при остром разрыве веретенообразной аневризмы базилярной артерии. Lanzino и соав. (14) сообщили о 8 случаях использования стентов и спиралей при лечении аневризм позвоночной артерии. Технический успех операций составил 90%. В нашей статье мы сообщаем об успешном закрытии гигантской аневризмы правой позвоночной артерии устройством «Amplatzer duct occluder».
Представляем клиническое наблюдение — пациентка С., 34 лет, поступила на обследование и лечение в НЦ ССХ им. А.Н. Бакулева 03.12.2003 г.
Жалобы при поступлении: на объемное образование на передней поверхности шеи справа; боли в шейном отделе позвоночника с ограничением подвижности; отек, резкое ограничение объема движений в суставах правой верхней конечности и онемение правой руки; нарушение походки, отек голеней; чувство неудовлетворенности вдохом; затруднение при глотании твердой пищи; головокружение, эпизоды потери сознания без связи с физической нагрузкой. Работает почтальоном в сельской местности. Работа связана с большими физическими нагрузками на плечевой пояс.
Анамнез заболевания: считает себя больной с апреля 2003г., когда появились боли в шейном отделе позвоночника и отечность правой верхней конечности. В июле 2003г. отметила появление объемного образования на передней поверхности шеи справа. С августа 2003г. резкое ухудшение состояния: увеличение образования на шее, резкое ограничение объема движений в правой верхней конечности и отек, появление слабости в нижних конечностях, нарушение походки.
Госпитализирована в больницу по месту жительства с подозрением на опухоль щитовидной железы. При диагностической пункции получена кровь. Пациентка направлена в НЦ ССХ им. А.Н. Бакулева для дальнейшего обследования и лечения.
Объективный статус при поступлении: Рост пациента 160 см, вес-53 кг. Состояние больной тяжелое. Множественные фиброматозные образования на теле. Шея увеличена в объеме преимущественно справа. Над образованием выслушивается систолический шум. Объем движений в шейном отделе позвоночника резко ограничен. Правая верхняя конечность отечна, резкое ограничение подвижности в суставах и онемение. Нарушение походки.
АД пр. в/к-90/60 мм рт.ст., АД лев.в/к- 120/80 мм рт.ст., ЧСС- 75 ударов в минуту., ритм правильный. Ослабление пульсации на правой лучевой артерии.
Консультация невролога: ограничение движений в правой руке до 3 Б., отечность правой половины шеи, руки. Сухожильные и периостальные рефлексы снижены, D=S. В ногах объем движений полный. Мышечная сила снижена до 4 б. Коленные и подошвенные рефлексы резко оживлены, расширены. Подошвенные рефлексы справа отсутствуют, слева — симптом Бабинского. Снижение чувствительности на правой руке и левой ноге. Тазовые функции контролирует.
Проведено обследование: Рентгенография органов грудной клетки: в верхнем средостении над дугой аорты определяется массивное образование с неровными бугристыми контурами, значительно проступающее в правое легочное поле. На этом уровне отмечается девиация контрастированного пищевода влево и кпереди и S-образное сколиотическое искривление нижнешейного отдела позвоночника.
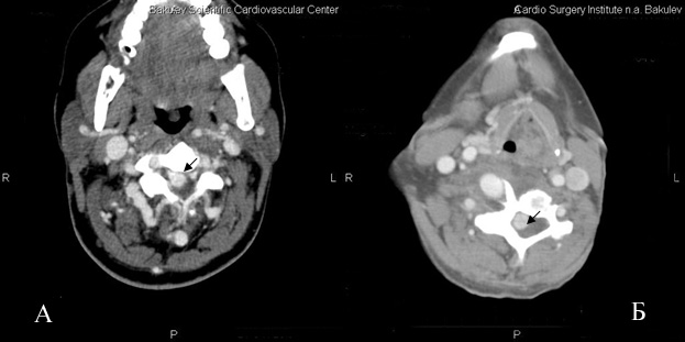
Спиральная компьютерная томография брахиоцефальных артерий с внутривенным болюсным введением Омнипака 300- 80,0: Грудная аорта без видимой патологии, обычного диаметра, левые общая сонная и подключичная артерии расположены типично. Брахиоцефальный ствол смещен кпереди и вправо. Правая общая сонная артерия диаметром 7 мм, правая подключичная артерия в устье имеет диаметр10 мм. От нее отходит правая позвоночная артерия диаметром 10 мм (рис 1).
Правая позвоночная артерия после отхождения от подключичной артерии отклонена несколько вправо, идет назад, делая S-образный изгиб загрудинно резко неравномерно расширяется до 25 мм, далее расширенная артерия «делает» петлю, образуя мешковидное сосудистое образование распространяется вниз в грудную клетку до правой ветви легочной артерии, вверх до С5, размерами 87×40 мм. После образования петли позвоночная артерия по передней поверхности тела позвонка сужается до 10 мм, идет косо вниз и вправо, затем снова расширяется до 27 мм и на уровне С6 входит в позвоночный спинномозговой канал (рис.1,4). Дистальнее правая позвоночная артерия расширена и извита, в позвоночном канале соединяется с резко расширенными корешковыми ветвями и также резко расширенной правой спинальной артерией (спинной мозг оттеснен влево и кзади) (рис.3). Отмечается выраженная деформация поперечного отростка С6 справа, обусловленная длительной компрессией расширенными сосудами.
Аневризма позвоночной артерии оттесняет брахиоцефальный ствол и правую плечеголовную вену, суживая ее. Пищевод и трахея также оттеснены вперед и влево, последняя сужена до 6 мм (трахея сдавлена между аневризмой и левой ключицей) (рис.2).
Магнитно- резонансная томография головного мозга, шейного отдела позвоночника: МР-картина выраженной патологической извитости и резкого аневризматического расширения правой позвоночной артерии, дисциркуляторной энцефалопатии, микроаденомы гипофиза, миелопатии от длительного сдавления в шейном отделе позвоночника. Ультразвуковая допплерография брахиоцефальных артерий: аневризма правой позвоночной артерии от устья с S-образным изгибом размером 72 мм в длину. Тромбоз правой плечевой артерии в верхней 1/3. По артериям нижних конечностей — магистральный кровоток.
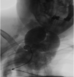
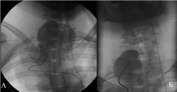
Ангиография брахиоцефальных артерий: восходящая аорта, дуга, нисходящая аорта без патологических изменений. Проксимальный сегмент правой позвоночной артерии извит, расширен. Визуализируется гигантское мешковидное образование размером 85×130 мм от уровня С5, занимающее всю область шеи, подчелюстную область и спускающееся в грудную полость по ходу верхней полой вены (рис.5). Отмечается сужение правой подключичной артерии до 80% при выходе из реберно-ключичного пространства. Правая общая сонная артерия — девиация в среднем отделе. Выполнена ангиография брахиоцефальных сосудов и селективная ангиография полости аневризмы. Верхняя граница аневризмы визуализируется до интракраниального отдела правой позвоночной артерии. При ангиографии левой позвоночной артерии выявлен переток в систему правой позвоночной артерии с контрастированием аневризмы (рис.6). Левые позвоночная, общая сонная артерия — без особенностей. Клинический диагноз: Гигантская аневризма правой позвоночной артерии. Миелопатия от длительного сдавления в шейном отделе позвоночника смешанного генеза (компрессионная, ишемическая). Дисциркуляторная энцефалопатия в вертебро-базилярном бассейне. Нейрофиброматоз I типа (синдром Реклингаузена). Медикаментозное лечение: детралекс, дексазон, эуфиллин, карнитин, мексидол. Учитывая, что полость аневризмы заполнялась как антеградно, так и ретроградно (через базилярную артерию), было решено первым этапом локализовать аневризматический мешок в дистальном отделе эмболизацией позвоночной артерии спиралями GIANTURCO (COOK) доступом через контрлатеральную позвоночную артерию. Однако, в связи с техническими трудностями прохождения проводника и катетера через базилярную артерию, решено воздержаться от выполнения данной процедуры и попытаться закрыть аневризму из антеградного доступа имплантацией устройства «Amplatzer» для закрытия открытого артериального протока в проксимальный отдел правой позвоночной артерии.
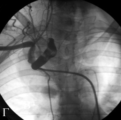
26.12.2003г. проведена эндоваскулярная операция — закрытие аневризмы с помощью устройства «Amplatzer duct occluder» (рис.7 ).
Описание устройства: Amplatzer duct occluder представляет собой устройство, позволяющее закрывать большие открытые артериальные протоки (диаметром от 3 до 14 мм). Сам окклюдер состоит из нитиноловых нитей, покрытых изнутри дакроном. Размер окклюдера подбирался с расчетом, чтобы проксимальный конец окклюдера прикрывал полость аневризмы непосредственно из аневризматического мешка, а дистальный — выступал в просвет правой позвоночной артерии. Для имплантации окклюдера использовалась специальная доставляющая система. Доставляющая система состоит из следующих структурных элементов: длинного интродьюссера, дилататора, толкателя и загрузочного устройства.
Методика закрытия: Доступом через правую бедренную артерию в полость аневризмы был проведен проводник. По проводнику в аневризматическую полость проводили длинный интродьюсер с дилататором. Одновременно с этим проводили подготовку остальных частей доставляющей системы: окклюдер при помощи микровинта, расположенного на конце толкателя, был соединен с последним и проведен в загрузочное устройство. Произвели удаление дилататора. Полученный комплекс окклюдер-толкатель через загрузочное устройство был соединен с доставляющим катетером, роль которого выполнял длинный интродьюссер. Следующим этапом было проведение окклюдера по доставляющему катетеру в полость аневризмы.
В полости аневризмы произвели раскрытие дистального отдела окклюдера с последующим низведением к границе проксимального отдела аневризматического мешка и интактной правой позвоночной артерии. Выполнялась ангиография, которая подтвердила правильное расположение окклюдера в полости аневризмы и наличие незначительного резидуального сброса крови через каркас устройства. Затем произвели раскрытие остальной части окклюдера. После имплантации окклюдера выполнили контрольную ангиографию, которая показала отсутствие антеградного заполнения полости аневризмы и наличие незначительного сброса крови через каркас устройства. Наличие резидуального сброса через каркас окклюдера не свидетельствует о неполном закрытии дефекта, так как процесс тромбообразования на устройстве может занимать несколько дней. Затем произвели отцепление окклюдера от катетера- толкателя (рис.7).
На
Заключение: Больная с улучшением состояния выписана из отделения для дальнейшего динамического наблюдения. Таким образом, описанный клинический случай свидетельствует об успешном применении устройства Amplatzer для эндоваскулярного закрытия гигантской аневризмы позвоночной артерии.

Рис.1 Аксиальный срез.
А- до процедуры. Резко расширена позвоночная артерия, видны широкие анастомозы с сосудами спинномозгового канала. Резко выражена деформация поперечного отростка С6-позвонка.
Б- после процедуры.

Рис.2 Аксиальный срез.
А- до процедуры. Сдавление трахеи между левой ключицей и аневризмой правой позвоночной артерии.
Б- после процедуры.

Рис.3 Аксиальный срез.
А- до процедуры. Резко расширены сосуды в спинномозговом канале (указаны стрелкой), сдавление спинного мозга.
Б- после процедуры.
Рис.4 Трехмерная реконструкция (SSD) аневризмы правой позвоночной артерии.
А- боковая проекция.
Б- прямая проекция.

Рис.5 Ангиография аневризмы правой позвоночной артерии.

Рис.6 Ангиография левой позвоночной артерии. Антеградное заполнение полости аневризмы.



Рис.7 Закрытие аневризмы имплантацией устройства «Amplatzer» для закрытия открытого артериального протока .
А) ангиограмма левой позвоночной артерии до операции (передне-задняя проекция)
Б) ангиограмма полости аневризмы до операции (боковая проекция)
В) устройство «Amplatzer» для закрытия открытого артериального протока .
Г) ангиограмма левой позвоночной артерии после операции
СПИСОК ЛИТЕРАТУРЫ
|
1.
|
Drake CG, Peerless SJ, Hernesniemi JA. Surgery of Vertebrobasilar Aneurysms, New York: Springer, 1996.
|
|
2.
|
Fox AJ, Vinuela F, Pelz DM, et al. Use of detachable balloons for proximal artery occlusion in the treatment of unclippable cerebral aneurysms. J Neurosurg 1987;66:40-46.
|
|
3.
|
Higashida RT, Halbach VV, Dowd CF, et al. Interventional neurovascular treatment for giant aneurysms of the posterior circulation. J Surg Cereb Stroke 1993;21:401-406.
|
|
4.
|
Moret J, Cognard C, Weill A, Castaings L, Rey A. The «Remodelling Technique» in the treatment of wide-necked intracranial aneurysms. Intervent Neuroradiol 1997;3:21-35.
|
|
5.
|
Vinuela F, Duckwiler G, Mawad M. Guglielmi detachable coil embolization of acute intracranial aneurysm: perioperative and clinical outcome in 403 patients. J Neurosurg 1997;86:475-482
|
|
6.
|
Cognard C,Weill A, Castaings L, Rey A, Moret J. Intracranial berry aneurysms: angiographic and clinical results after endovascular treatment. Radiology 1998;206:499-510.
|
|
7.
|
Zubillaga AF, Guglielmi G, Vinuela F, Duckwiler GR. Endovascular occlusion of intracranial aneurysms with electrically detachable coils: correlation of aneurysm neck size and treatment results. Am J Neuroradiol 1994;15:815-820.
|
|
8.
|
Massoud TF, Turjman F, Ji C et al. Endovascular treatment of fusiform aneurysms with stents and coils: technical feasibility in a swine model. Am J Neuroradiol 1995;16:1953-1963.
|
|
9
10.
|
Szikora I, Guterman LR, Wells KM, et al. Combined use of stents and coils to treat experimental wide-necked carotid aneurysms: preliminary results. Am J Neuroradiol 1994;15:1091-1102.
Stephen P. Lownie, David M. Pelz, Allan J. Fox. Endovascular Therapy of a Large Vertebral Artery Aneurysm using Stent and Coils. . Can. J. Neurol. Sci. 2000; 27:
|
|
11.
|
Geremia G, Bakon M, Brennecke L, et al. Experimental arteriovenous fistulas: treatment with silicone-covered metallic stents. Am J Neuroradiol 1997;18:271-277.
|
|
12.
|
Marotta TR, Butler C, Taylor D, Morris C, Zwimpfer T. Autologous vein-covered stent repair of a cervical internal carotid artery pseudoaneurysm: technical case report. Neurosurgery 1998;42:
|
|
13.
|
Higashida RT, Smith W, Gress D, et al. Intravascular stent and endovascular coil placement for a ruptured fusiform aneurysm of the basilar artery. J Neurosurg 1997;87:944-949.
|
|
14.
|
Lanzino G, Wahkloo AK, Fessler RD, et al. Efficacy and current limitations of intravascular stents for intracranial internal carotid, vertebral, and basilar artery aneurysms. J Neurosurg 1999; 91 (4): |
RUS
ENG




