Карапетян Н. Г., 04/03/2018
Рубрика: Конкурс
Острый коронарный синдром с вовлечением незащищенного ствола левой коронарной артерии
Пациент А. 1948г.р. (69 лет) поступил в Региональный сосудистый центр ГБ №1
г. Новороссийска 22.01.2018 года с диагнозом ОКС с подъемом сегмента ST. Считает себя больным с 22.01.2018 г., когда в 04.00 проснулся от давящей боли за грудиной. Вызвал бригаду СМП и доставлен в отделение неотложной кардиологии.
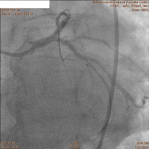
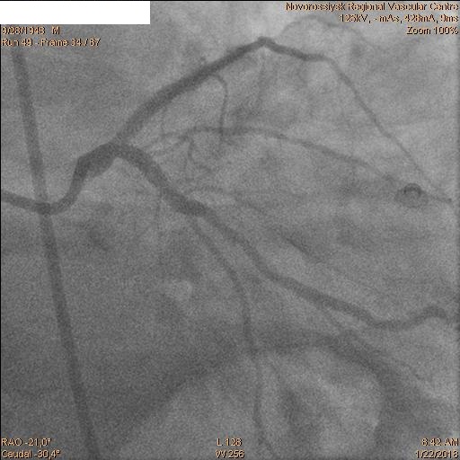
В 06.00 пациент в экстренном порядке подан в рентгеноперационную. Пациенту выполнена коронарография, по данным которой выявлены стеноз ствола ЛКА 60% с переходом на устья ПНА и ОА, окклюзия ПНА от устья и стеноз устья ОА 60%.

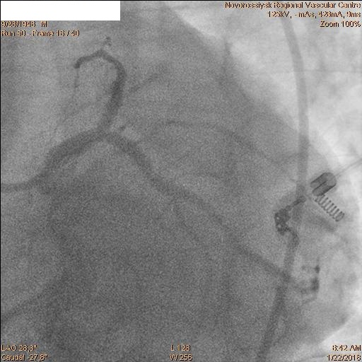
После которой было принято решение о выполнении бифуркационного стентирования ствола ЛКА.
Последовательно заведены коронарные проводники в дистальные сегменты ПНА и ОА. Первым этапом была выполнена реканализация, баллонная ангиопластика ПНА баллоном 2.5х20 мм и стентирование ствола ЛКА с переходом на проксимальный сегмент ПНА стентом 4.0х28 мм.


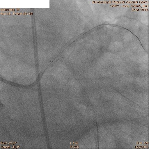
Затем последовательно перепроведены коронарные проводники в дистальные сегмента ПНА и ОА. Баллоном 2.5х20 мм выполнена предилатация ячеек стента. Далее выполнено стентирование ствола ЛКА с переходом на проксимальный сегмент ОА стентом 4.0х28 мм. Затем баллонами 2.5х20 мм и 2.5х15 мм выполнена «kissing» дилатация ствола ЛКА, устья ПНА и устья ОА с великолепным ангиографическим результатом.



Пациент переведен в ПИТ отделения неотложной кардиологии. ЭКГ после операции.

07/03/2018, Корелов Г. И.
Спасибо! Да.
RUS
ENG





06/03/2018, Ермолаев П. А.
Отличный результат! Был выполнен Cullotte?