Карапетян Н. Г., 27/05/2017
Рубрика: Конкурс
Случай рентгенэндоваскулярной окклюзии ложной аневризмы головки поджелудочной железы со сбросом в портальную систему
Авторы: Войновский А.Е., Абраамян Т.Р., Степанченко А.П., Прохоров А.В., Алмаев В.В., Ярков С.А., Сысоев В.М., Миньковский Ю.В., Балаян А.В., Гусейнов Э.К., Волостных Д.А.
ГБУЗ «ГКБ имени С.С. Юдина ДЗМ»
Ключевые слова: РЭО – рентгенэндоваскулярная окклюзия; КТА – КТ-ангиография; ЧС – чревный ствол; ВБА - верхняя брыжеечная артерия; ВБВ – верхняя брыжеечная вена.
Пациент С. 63 лет, поступил 23.03.17г. с жалобами на боли в верхних отделах живота, общую слабость, сухость во рту. В анамнезе неоднократно проходил лечение по поводу обострения хронического панкреатита, последнее – в начале марта 2017г. Тогда поставили диагноз псевдокисты поджелудочной железы. В условиях стационара ГКБ им. С. С. Юдина выполнялись следующие диагностические инструментальные процедуры:Диагностическая ЭГДС. Заключение: Цистодуоденальная фистула? Ангиоэктазия ДПК? Эрозивный гастрит. Выраженный гастродуоденит. Выраженный катаральный эзофагит.
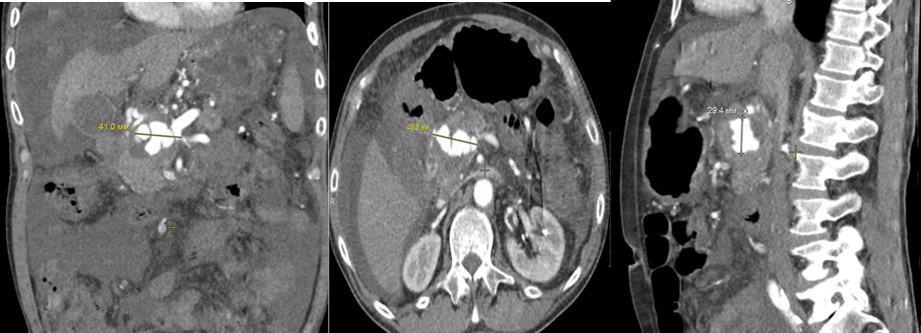
КТ в режиме болюсного контрастирования. Заключение: в головке поджелудочной железы определяется артериовенозная фистула между желудочно-двенадцатиперстной артерией (a.gastroduodenalis) и кавернозно трансформированной воротной веной, 41х31х39 мм. Множественные порто-кавальные анастомозы из верхней брыжеечной вены (ВБВ) в верхней трети. Достоверных признаков экстравазации не выявлено.

ис.1а. КТА. Артериальная фаза. Фронтальная проекция. Показано сообщение желудочно-двенадцатиперстной артерии (ЖДА) и артериовенозной фистулы (стрелка). Видна шейка ложной аневризмы, находящейся в головке поджелудочной железы.
Рис.1б. КТА. Венозная фаза, фронтальная проекция. Сообщение артериовенозной фистулы с портальной системой (стрелки).

Рис. 2. КТА. Артериальная фаза. Визуализация объёмного образования головки поджелудочной железы с указанием размеров в трёх плоскостях.
Выполнена диагностическая ангиография, с суперселективной катетеризацией чревного ствола (ЧС), верхней брыжеечной артерии и их ветвей.
Поставлено заключение: контрастирование неправильной формы объёмного образования (киста – ложная аневризма) со сбросом в систему портальной вены.

Рис. 3а. Анатомия сосудистого русла гастродуоденальной области и ангиографическая визуализация объёмного образования головки поджелудочной железы (стрелка) из бассейна верхней брыжеечной артерии.
Рис. 3б. Визуализация объёмного образования из системы чревного ствола.
Сразу после проведения диагностической ангиографии, катетером Cobra 3 (C3) фирмы Terumo, выполнена эмболизация желудочно-двенадцатиперстной артерии, ложной артериовенозной аневризмы, в том числе и в области сброса в портальную систему. При проведении РЭО использовались спирали Azur 35 – 10 см.
При контрольной съёмке из общей печёночной артерии, а так же из системы панкреатодуоденальных артерий бассейна ВБА, отмечается стойкая редукция кровотока.

Рис. 4 а. Визуализация области окклюзии из общей печёночной артерии бассейна чревного ствола. Отмечается стойкая редукция кровотока.
Рис. 4б. Визуализация области окклюзии из верхней брыжеечной артерии. Отмечается стойкая редукция кровотока.
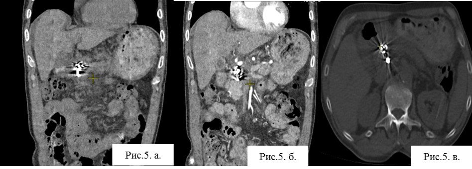
Результаты КТА: состояние после РЭО желудочно двенадцатиперстной артерии. Артефакты от спиралей, имплантированных в полость ложной аневризмы. Признаки тромбоза верхней брыжеечной вены (ВБВ). Псевдокиста перешейка поджелудочной железы. Портальная гипертензия. Билиарная гипертензия. Асцит.

Рис. 5. а, б. КТ с болюсным контрастированием. Артериальная фаза. Визуализация области окклюзии. Артефакты от имплантированных в полость образования спиралей. Визуализация спирали, находящейся в области окклюзии.
Рис. 5 в. КТ без режима контрастирования. Визуализация спирали, находящейся в области окклюзии.
За время наблюдения в послеоперационном периоде - данных за наличие кровотечения не получено. Пациент выписывается из стационара 31.03.17г., без жалоб, на амбулаторное наблюдение по месту жительства.
RUS
ENG





Комментариев пока нет