Шукуров Ф. Б., 05/05/2017
Рубрика: Конкурс
Окклюзия внутренней сонной артерии как причина рецидивирующей «преходящей слепоты» и артериальной гипертензии?
Окклюзия внутренней сонной артерии как причина рецидивирующей «преходящей слепоты» и артериальной гипертензии? Пример успешного эндоваскулярного лечения.
Шукуров Ф.Б., Чигидинова Д.С., Руденко Б.А., Шаноян А.С.
ФГБУ «Государственный научно-исследовательский центр профилактической медицины» Минздрава РФ. 101990, Россия, Москва, Петроверигский пер., 10, стр. 3.
В неврологическое отделение поступил пациент 60 лет с жалобами на слабость и чувство онемения в левых конечностях, шаткость при ходьбе, нарушение речи (в течение 12 месяцев) и рецидивирующую кратковременную потерю зрения (последний эпизод за 2 недели до госпитализации). Повышенное АД до 160/100мм.рт.ст.
Из анамнеза известно, что страдает гипертонической болезнью на протяжении 10 лет (на фоне многокомпонентной терапии среднее АД по данным самоконтроля артериального давления (СКАД) составляло 145/80мм.рт.ст.). За год до госпитализации перенес ОНМК в теменно-затылочной области справа с клиникой левостороннего гемипареза, на фоне консервативной терапии - уменьшение симптоматики.
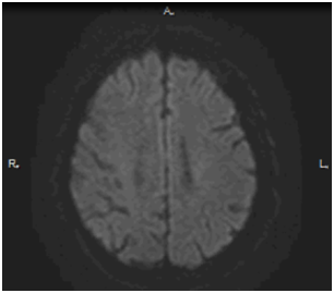
Выполнено МРТ головного мозга в режиме DWI: постинсультные изменения в теменно-затылочной области справа размерами 40x34x25 мм, мелкие сосудистые очаги, асимметрия полушарий мозга.
Выполнено контрольное дуплексное сканирование брахиоцефальных артерий, по результатам которого выявлен 80% стеноз устья правой внутренней сонной артерии (пВСА). Пиковая скорость кровотока в пВСА – 250 см/сек. Учитывая рецидивирующую клинику ТИА, гемодинамически-значимое поражение правой ВСА – больному рекомендована реваскуляризация в бассейне правой ВСА. Однако при селективной ангиографии брахиоцефальных артерий выявлена короткая окклюзия правой ВСА от устья.

Интракраниальные отделы кровоснабжаются из бассейна левой сонной артерии по Вилизиеву кругу.
Учитывая «симптомность» поражения сонной артерии, а также благоприятные анатомо-морфологические характеристики поражения и высокую вероятность успеха эноваскулярного лечения - принято решение о проведении ангиопластики со стентированием правой внутренней сонной артерии с использованием проксимальной системы защиты головного мозга.
Операция проводилась правым феморальным доступом. Дистальный баллон системы позиционирован на расстоянии 1 см дистальнее бифуркации, в проксимальный отдел пНСА. Проксимальный баллон системы позиционирован в дистальном отделе пОСА. Последовательно произведено
раздувание дистального (в наружной сонной артерии) и проксимального (в общей сонной артерии) баллонов системы с перекрытием кровотока по целевому сосуду.

Проведение проводника за зону окклюзии с последующей реканализацией окклюзии баллонным катетером d=3 L=20 мм инфляцией 14 атм.

В область остаточного стеноза позиционирован и имплантирован самораскрывающийся каротидный стент с «закрытой ячейкой» d= 8-6 L=40 мм, с последующей постдилатацией стентированного сегмента баллонным катетером d=6 L=20 мм инфляцией 8 атм.

Выполнена аспирация 60 мл крови через систему церебральной протекции с получением атеросклеротического дебриса до получения «чистой» крови. Поочередно произведено снижение давления в дистальном и проксимальном баллонах системы, антеградный кровоток по правой ВСА восстановлен. Интракраниальные отделы хорошо кровоснабжаются из бассейна правой сонной артерии.

Общее время перекрытия правой ОСА составило 12 минут.
Во время операции пациент находился в сознании, был доступен продуктивному вербальному контакту, активно жалоб не предъявлял, очаговой неврологической симптоматики не отмечалось, гемодинамические показатели оставались стабильными.
МРТ головного мозга в режиме DWI в 1-е сутки после операции: очагов повышенного МР-сигнала в веществе головного мозга не выявлено в режиме DWI b =1000.

Больной был выписан на 2-е сутки послеоперационного периода.
В ближайшем и отдаленном послеоперационном периоде (3, 12 месяцев) –регресс неврологической симптоматики, данных за рецидив «преходящей слепоты» нет. По данным СКАД (на фоне прежней гипотензивной терапии среднее АД составляло 125/70мм.рт.ст. (145/80мм.рт.ст. до вмешательства).
Заключение: данный пример является иллюстрацией того, что правильный подбор пациентов и адекватная оценка факторов риска интраоперационных осложнений позволяет добиться максимально эффективных результатов эндоваскулярного лечения. Асимптомное окклюзирующее поражение внутренней сонной артерии является противопоказанием к реваскуляризации в данном бассейне, тогда как при симптомном течении патологического процесса для оптимальных результатов эндоваскулярного лечения необходим детальный подбор пациентов, оценка анатомо-морфологических характеристик окклюзирующего атеросклеротического поражения и наличие необходимого операционного инструментария, опыт хирурга, подготовленность операционной, взаимодействие с неврологами.
08/05/2017, Шукуров Ф. Б.
Добрый день! Большое спасибо за комментарий. В нашем центре проводится исследование, изучающее влияние каротидного стентирования на артериальную гипертензию, мы непременно постараемся доложить результаты на ближайших конференциях. Целью выкладывания данного клинического случая было обращение внимания на проблематику субтотальных и окклюзирующих поражений каротидных артерий. Снижение артериального давления - дополнительный фактор, который необходимо учитывать. В конкретно данном случае, по всей видимости, снижение АГ связано с хроническим воздействие металлического каркаса на барорецепторы каротидного сплетения, а также отключение компенсаторного механизма АГ вследствие реканализации окклюзии.
RUS
ENG





08/05/2017, Сойнов И. А.
Добрый день! Очень интересный case report, однако не понятен механизм снижения артериальной гипертензии. Может быть этот механизм нужно обсудить более подробно? Возможно была смена лекарственных препаратов?