Горбатых А. , 04/05/2017
Рубрика: Конкурс
Эндоваскулярное закрытие посттравматического аорто-правожелудочкового дефекта.
Колото - резаные раны грудной клетки чаще локализуются на её передней поверхности слева. Это можно объяснить тем, что нападающий, как правило, держит нож в правой руке и стремится нанести удар в область сердца. При нанесении удара спереди слева могут повреждаться как левый, так и правый желудочек. Левое предсердие чаще повреждается при ударе режущим или колющим предметом сзади, правое предсердие-при нанесении удара справа или в области грудины. Несколько чаще повреждаются правые отделы сердца. Одновременно с проникающим ранением стенки сердца может быть повреждена межпредсердная и межжелудочковая перегородки. Такие ранения встречаются редко и сопровождаются очень высокой летальностью. По данным Ю. Ю. Джанелидзе, при вскрытии ранение межжелудочковой перегородки отмечено у 2,4% умерших. Прямые ранения аорты в 99% случаев приводят к летальному исходу. Хирургическое лечение показано всем раненым, даже при отсутствии клиники тампонады и прогрессирующего кровотечения.
Клинический случай: Пациент 30 лет. 52 кг. Из анамнеза: получил множественные колото-резаные ранение грудной клетки и несколько колотых ранений передней стенки брюшной полости. В состоянии геморрагического шока 3-4 ст. доставлен в БСМП по месту жительства, где выполнена экстренная торакотомия слева. На операции объем сгустков и жидкой крови из полости перикарда и левой плевральной полости составил более 2,3 литра. Отмечены повреждения задней-боковой стенки левого желудочка сердца, колотая рана длинной 2 см в области передней стенки правого желудочка, травма нижних сегментов левого легкого. Раны были ушиты, кровотечение удалось остановить. ОЦК был восполнен, через сутки пациент был активизирован, отключен от ИВЛ. Послеоперационный период протекал без осложнений, выписан из стационара на 16 сутки после операции.
При контрольном обследовании в кардиологическом отделении через 5 мес. отмечен выраженный систоло-диастолический шум: по данным ЭХО КГ выявлен посттравматический дефект синуса Вальсальвы с выраженным сбросом в полость правого желудочка (ВОПЖ) размером до 6 мм. Повышено расчетное давление в ЛА 53 мм.рт.ст. Размеры полости ПЖ ближе к верхней границе нормы. QP:QS = 3:1.
Пациент направлен на обследование в ФГБУ «СФБМИЦ им.академика Мешалкина». Аускультативно выраженный систоло-диастолический шум более выраженый слева от грудины. При осмотре 2 рубца от колотых ранений грудной клетки ( левое плечо, рана по средне-подмышечной линии в 5-6 межреберье (область торакотомного рубца) и 3- межреберье слева от грудины. (рис. 1)

Рисунок 1.
Выполнено МСКТ исследовании с контрастом: определяется дефект между правым коронарным синусом Вальсальвы и ПЖ в области ВОПЖ. Расстояние от края дефекта до устья правой коронарной артерии – около 3,0- 4,0 мм. Размеры фистулы со стороны правого желудочка - 4,5х 5,0 мм, со стороны синуса аорты - до 6,0х 6,0 мм, протяженность стенок (длина канала дефекта): справа и слева - около 9,0 и 6,0 мм соответственно. (Рис 2.)
Рисунок 2.
На трехмерной реконструкции можно отметить, что устье правой коронарной артерии находится в близости "устья" аорто-правожелудочкового дефекта. (рис. 3)

Рисунок 3.
Для дальнейшего исследования пациент направлен на катетеризацию сердца. Исследование выполнено на спонтанном дыхании. Сосудистый доступ осуществлялся через правую бедренную артерию и вену, в дальнейшем для ангиографического контроля использован доступ через левую бедренную артерию. Диагностические катетеры 5 Fr. После выбора наиболее удачной позиция для ангиографии RAO 44- CRA 25, Выполнено контрастирование корня аорты. Отмечен сброс контраста в ПЖ в непосредственной близости клапана ЛА. Коронарные артерии без особенностей (рис 4).

Рисунок 4.
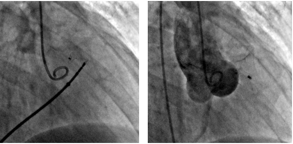
Чрез-артериальным доступом через дефект проведен проводник 0,035, кончик проводника направлен в ствол ЛА, выполнен захват проводника ловушкой типа «лаcсо», проводник выведен через венозный доступ, таким образом сформирована артериовенозная петля. Методика закрытия данного дефекта не отличалась от закрытия стандартного ДМЖП, однако учитывая непосредственную близость устья ПКА, принято решение имплантации PDA окклюдера, так как диск окклюдера несколько меньше и тоньше чем у VSD окклюдеров. Венозным доступом по проводнику проведено доставочное устройство SFP 6 Fr, по которому доставлен PDA окклюдер «LifeTech»XJFD0608. Дистальный конец окклюдера расположен в правом коронарном синусе, а тело окклюдера закрывает полость дефекта. На контрольной ангиографии сброса контраста через тело окклюдера не выявлено. Правая коронарная артерия не скомпрометирована. Давление в ПЖ 33/2 торр. Осложнений во время процедуры не было. Время операции 17 мин, рентгеноскопии 9 мин.( Рис. 4,5)

Рисунок 5. Окончательный вид операции.
08/05/2017, Спицин С.
Как часто вы закрываете окклюдерами постравматические и постинфартные межжелудочковые дефекты?
10/05/2017, Горбатых А.
В нашей клинике имеется относительно небольшой опыт закрытия постинфактных ДМЖП, а постравматические дефекты после колотых ранений совсем единичные. Представить на конкурс данный клинический случай решено потому как, в первую очередь впечатляет везение нашего пациента, а так же работа дежурной бригады в БСМП ,несмотря на тяжесть ранений оказавшая необходимую экстренную помощь. Технически эндоваскулярное закрытие данного постравматического дефекта не представляло сложности, так как методика отработана на закрытии стандартных ДМЖП, однако несмотря на успех процедуры выбор типа окклюзирующего устройства можно оставить открытым.
Благодарю вас за комментарии.
RUS
ENG





08/05/2017, Сойнов И. А.
Очень интересный клинический случай! Во первых такие пациенты чаще всего умирают в первые дни после ранения из-за перегрузки правых отделов и возникновения отека легких! Во вторых близость коронарной артерии и возможность перегиба при закрытии VSD окллюдером заставляют искать иные пути решения данной проблемы, а именно открытую хирургическую процедуру с использованием ИК. Однако авторы применили оригинальную тактику с использование PDA окклюдера, что безусловно снизила риск перегиба ПКА.