Карапетян Н. Г., 09/04/2017
Рубрика: Конкурс
ЛЕЧЕНИЕ ПАЦИЕНТА С ИШЕМИЧЕСКОЙ БОЛЕЗНЬЮ СЕРДЦА И ОНКОПАТОЛОГИЕЙ
ЛЕЧЕНИЕ ПАЦИЕНТА С ИШЕМИЧЕСКОЙ БОЛЕЗНЬЮ СЕРДЦА И ОНКОПАТОЛОГИЕЙ
1 «Клинический госпиталь ЛАПИНО» ; 1-ое Успенское шоссе д. 111, Московская область, 143081, Российская Федерация.
Григорьян Ашот Михайлович, заведующий отделением рентгенхирургических методов диагностики и лечения (для корреспонденции: gashot@inbox.ru); Панин Александр Викторович, зам. главного врача по хирургии, кандидат медицинских наук; Ахобеков Альберт Амалиевич, кандидат медицинских наук, заведующий отделением кардиологии; Дубровский Андрей Викторович, заведующий хирургическим отделением, доктор медицинских наук, профессор, Амбарцумян Гарик Арменакович, кандидат медицинских наук, специалист по рентгенэндоваскуярным диагностике и лечению.
Введение
Наличие сопутствующей ИБС у пациентов со злокачественными
новообразованиями в большинстве случаев служит отягощающим фактором,
осложняющим и/или ограничивающим лечение онкологической патологии.
Ишемическая болезнь сердца у пациентов с онкологической патологией увеличивает частоту развития послеоперационных осложнений, госпитальную смертность, а также снижает отдаленную выживаемость после радикальной операции по поводу злокачественного новообразования. Проведение реваскуляризации миокарда первым этапом, является основным методом лечения, снижающим риск развития сердечно-сосудистых осложнений. В связи с распространением и развитием методов эндоваскулярной реваскуляризации миокарда большой интерес представляет изучение этапного хирургического лечения пациентов, которым было выполнено чрескожное коронарное вмешательство перед началом лечения онкологической патологии.
Представленный клинический случай подтверждает вышеуказанные утверждения.
Описание случая
Мужчина 61 года поступил в клинический госпиталь «Лапино» группы компаний «Мать и Дитя» с жалобами на постоянные (на протяжении 1 года) кровяные выделения из прямой кишки. При выполнении колоноскопии определялись множественные дивертикулы в поперечной ободочной кишке до - 6 см в диаметре; на расстоянии 45-50 см от ануса визуализированы 2 полипа до 3 мм в диаметра; непосредственно за анусом – опухолевидное образование полушаровидной формы размерами 4.5 х 5.0 см, занимающее 1/3 полуокружности, бугристое, с рыхлой поверхностью, однако при инструментальной пальпации плотное с выраженной контактной и спонтанной кровоточивостью, а на противоположной стенке – плоское полиповидное образование до 5 мм в диаметре. По данным выполненной биопсии – умеренно дифференцированная аденокарционома. В процессе сбора анамнеза выяснилось, что пациент страдает ишемической болезнью сердца. Стенокардия напряжения 4 функциональный класс согласно классификации Канадского кардиологического общества. В анамнезе перенесенный инфаркт миокарда по передней стенке левого желудочка от 2010 года. Ранее пациенту (2012 год) проводилась коронарография, по результатам которой было рекомендовано проведение аорто-коронарного шунтирования (окклюзия ПМЖВ от устья с заполнением постокклюзионного сегмента по слабо развитым внутри- и хорошо развитым межсистемным перетокам, стеноз устья ОВ 60%, стеноз ПКА в с/3 75% с формированием перетоков в систему ПМЖВ-ЛКА), Syntax Score составил 28.
При поступлении у пациента отмечались жалобы на давящие боли в грудной клетке, иррадиирующие под левую лопатку, возникающие при незначительной физической нагрузке. При объективном обследовании общее состояние средней тяжести, сознание ясное, активность снижена за счет основного заболевания. По данным ЭКГ синусовый ритм, сегмент ST находился на изолинии. Фракция выброса (ФВ) левого желудочка (ЛЖ) составляла 58%. Отмечалось нарушение локальной сократимости в виде акинезии задней стенки ЛЖ.
Пациенту по поводу злокачественного новообразования прямой кишки планировалось выполнение брюшно-анальной экстирпации прямой кишки, ректо-сигмовидного участка с низведением сигмовидной кишки и выполнение сигмо-анальной фиксации. Учитывая клинические данные, результаты инвазивных и неинвазивных методов обследования, злокачественное новообразование прямой кишки, а также объем предстоящего хирургического вмешательства и связанный с этим большой риск развития неблагоприятных осложнений в случае коррекции первым этапом онкопатологии, консилиумом "сердечной команды" в составе кардиолога, эндоваскулярного хирурга, анестезиолога и абдоминального хирурга было принято решение о выполнении первым этап реваскуляризации миокарда, вторым - резекция прямой кишки.
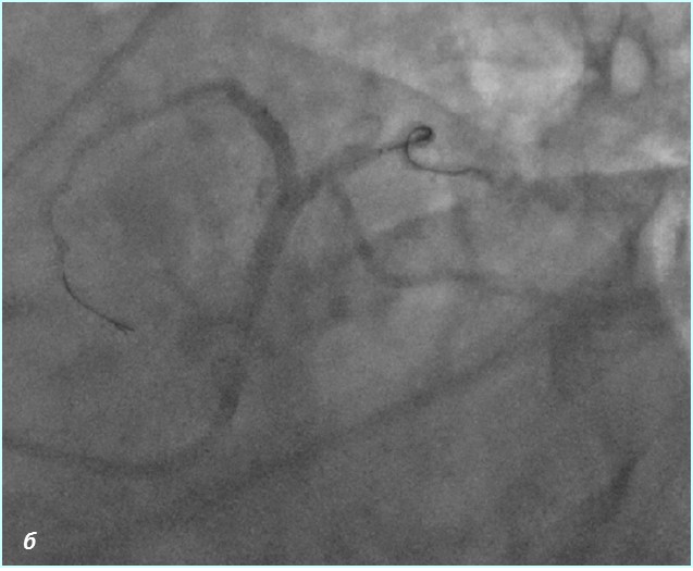
До проведения реваскуляризации миокарда пациент получал двойную антиагрегантную терапию (клопидогрел 75 мг, ацетилсалициловая кислота - 300 мг ежедневно). Чрескожное коронарное вмешательство было разделено на два этапа. Первым этапом – планировалось выполнить реканализацию и стентирование ПМЖВ, вторым – стентирование ПКА. Однако по данным повторной коронарографии было выявлено сужение тела ствола левой коронарной артерии (ЛКА) на 30%, окклюзия от устья передней межжелудочковой артерии (ПМЖВ), постокклюзионный сегмент заполнялся по слабым внутри- и межсистемным коллатералям, устьевое сужение огибающей артерии (ОВ) 60%, окклюзия средней трети правой коронарной артерии (ПКА), постокклюзионный сегмент заполнялся по внутрисистемным перетокам. Показатель Syntax Score для данного пациента составил 34.5. Учитывая, что по данным ранее выполненной коронарографии, правая коронарная артерия оставалась проходимой, а передняя межжелудочковая ветвь была окклюзирована и на момент реваскуляризации срок окклюзии составлял 7 лет, была проведена сменена тактики и первым этапом выполнена реканализация правой коронарной артерии, а спустя 2 суток – реканализация и стентирование передней межжелудочковой ветви от устья с баллонной ангиопластикой огибающей ветви (рис.1,2). Учитывая, что проводилась реканализация хронической окклюзии, в обе коронарные артерии были имплантированы стенты с лекарственным покрытием Resolute ONYX (Medtronic).
При выписке из стационара пациент отмечает отсутствие стенокардии. Из дезагрегантов был рекомендован прием клопидогреля 75 мг/сут. в течение 6 месяцев и ацетилсалициловой кислоты 100 мг/сут. пожизненно. Рекомендовано наблюдение кардиолога по месту жительства. Вторым этапом пациенту было запланировано хирургическое вмешательство – резекция прямой кишки. Участившиеся на фоне двойной дезагрегантной терапии кровотечения из прямой кишки, снижение уровня гемоглобина до 80 г/л, потребовали выполнение хирургического этапа через неделю после реваскуляризации миокарда без отмены ранее назначенной терапии.
Вместо заключения
По данным статистики от 5 до 25% пациентов, перенесших чрескожное коронарное вмешательство, нуждаются в выполнении внесердечных оперативных вмешательств в течение последующих пяти лет. В такой ситуации актуален вопрос о соблюдении двойной дезагрегантной терапии, т.к. прогноз при развитии тромбоза стента хуже, чем при возникновении окклюзии коронарной артерии, а преждевременная отмена двойной дезагрегантной терапии (ДДТ) у пациентов с недавно установленным коронарным стентом является важнейшим прогностическим фактором развития его тромбоза. Вопросы проведения дезагрегантной терапии у пациентов с недавно имплантированными коронарными стентами, которым показаны внесердечные операции, должны обсуждаться совместно хирургом и кардиологом. Это необходимо для того, чтобы тщательно оценить соотношение возможного риска возникновения угрожающего жизни кровотечения во время операции при продолжении дезагрегантной терапии (со стороны хирурга) и риска угрожающего жизни тромбоза стента при ее отмене (со стороны кардиолога). “Стандартная” длительность ДДТ различна у пациентов, которым были имплантированы голометаллические стенты (МС), и у пациентов со сентами с лекарственным покрытием (СЛП): рекомендуемая продолжительность ДДТ составляет не менее одного месяца после установки МС при стабильной ИБС, не менее 6-ти месяцев после установки СЛП нового поколения и не менее одного года у пациентов, перенесших ОКС. Данные ряда исследований показывают, что после имплантации СЛП новейшего поколения с покрытием зотаролимусом или эверолимусом необходимая продолжительность ДДТ может быть еще меньше. С целью уменьшения риска развития кровотечения и потребности в гемотрансфузии рекомендуется отложить выполнение плановых внесердечных операций до завершения полного курса ДДТ и, если это представляется возможным, не прерывать прием аспирина в периоперационном периоде. Важно отметить, что при невозможности длительной отсрочки внесердечного хирургического вмешательства, возможно сокращение длительности ДДТ до одного и трех месяцев после установки МС и СЛП, соответственно, вне зависимости от тяжести ИБС. Такие внесердечные операции могут проводиться исключительно при условии круглосуточной работы рентгеноперационной с тем, чтобы оказать пациенту своевременную помощь.



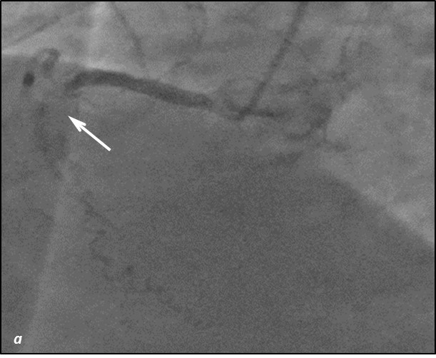
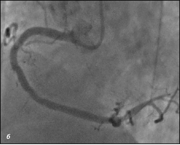
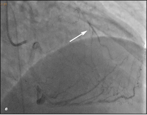
Рис.1 Ангиограмма правой корнарной артерии. а) при коронарографии правой коронарной артерии –артерия окклюзирована от уровня п/3 (стрелка); б) проходимость по правой коронарной артерии полностью восстановлена; в) после выполненной реканализации и стентирования ПКА отмечаются межсистемные перетоки в ПМЖВ-ЛКА (стрелка)


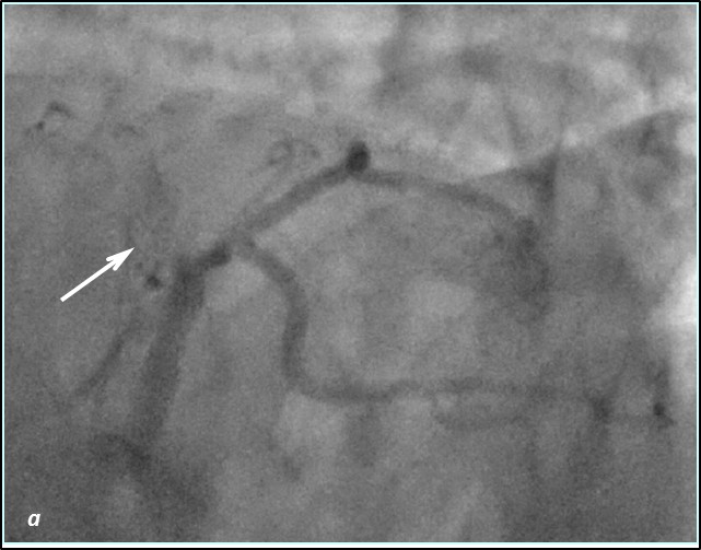
Рис.2 Ангиограмма левой коронарной артерии. а) при коронарографии левой коронарной артерии –артерия окклюзирована от устья (стрелка); б) проходимость по левой коронарной артерии полностью восстановлена
RUS
ENG





30/04/2017, Марданян Г. В.
Спасибо за интересный случай. Скажите, пожалуйста, проводили ли пациенту нагрузочный тест для оценки риска несердечной хирургии? Какие противопоказания к АКШ были у пациента?