Карапетян Н. Г., 04/04/2016
Рубрика: Конкурс
Клинический случай комбинированного лечения ишемического инсульта в остром периоде
ГБУ РМЭ "Йошкар-Олинская городская больница"(г.Йошкар-Ола, ул. К.Либкнехта,55)
Чевыров А.Ю. заведующий ОРХМДиЛ.,
Шишкина Е.Н. заведующая НО ОНМК.,
Белобородов Д.В. врач ОРХМДиЛ.,
Фелькер В.О. врач ОРХМДи Л.,
Петухов А.О. врач ОРХМД иЛ.
Больной Ф.,74 лет, переведен в неврологическое отделение (НО) ОНМК РСЦ из отделения пульмонологии одной из больниц города 20.03.14 в 09:00 в экстренном порядке с диагнозом ОНМК.
Из анамнеза: заболел остро в 8:30 20.03.2014г., появилась слабость в конечностях слева. После осмотра лечащего врача и невролога было принято решение о переводе больного в НО ОНМК. Больной находился на лечении в пульмонологическом отделении с диагнозом ХОБЛ.ДН2
На момент приезда в стационар пациент осмотрен неврологом. Неврологический дефицит по шкале NIHSS 17 б. Сознание оглушение. КТ заключение: КТ картина ишемического инфаркта правого полушария головного мозга в бассейне СМА. Состояние после перенесенного инфаркта в теменной доле правого полушария головного мозга.
В 10:10 дуплексное сканирование брахиоцефальных сосудов с заключением: стенозирующий атеросклероз брахиоцефальных артерий. Стеноз правой ВСА 85%. Окклюзия левой ВСА. Аплазия(окклюзия) левой позвоночной артерии.
Противопоказаний к системному тромболизису нет. В 10:45 начат системный тромболизис актилизе в дозе 67,5мг.(масса пациента 75кг.): болюс 6,7мг., затем 60,8мг в течении часа. В 11:45 тромболизис окончен, осложнений не было. Без эффекта. Продолжена интенсивная терапия.
12:50 консилиум в составе невролога, нейрохирурга, рентгенэндоваскулярного хирурга о проведении церебральной ангиографии с дальнейшим лечением. (ухудшение состояния., отсутствие эффекта от системной ТЛТ)
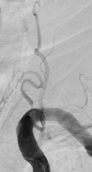
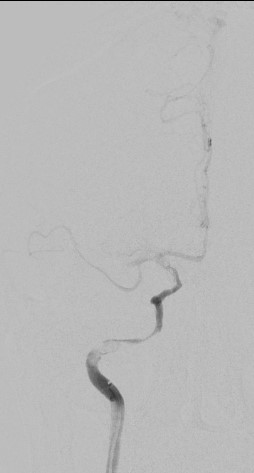
13:00 Больной подан в рентгеноперационную, выполнена церебральная ангиография: Ангиографические признаки атеросклеротического процесса брахиоцефальных артерий, тромботической окклюзии правой ВСА(Рис1), окклюзия левых ВСА(Рис3) и ПА(Рис2).
Рис4 заполнение системы левой ВСА через левую заднюю соединительную артерию.

рис. 1 рис. 2

рис. 3 рис. 4
В операционной принято решение о механической тромбоэкстракции.
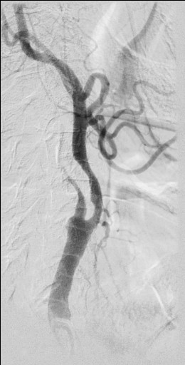
Выполнена реканализация проводником правой ВСА с применением проксимальной защиты. При помощи микрокатетера выполнена тромбоэкстракция из правой ВСА стент- ретривером 6-20(Рис 5.). Удалены тромботические массы. В клиноидном отделе (С 3 сегменте) правой ВСА атеросклеротическая бляшка со стенозом 95%, СМА окклюзирована.(Рис 6,7.) Тромбоэкстракция из СМА справа с полной реканализацией.( mTICI3) (Рис 8,9.) Далее выполнено стентирование правой ВСА стентом 7,0-40мм., с дальнейшей постдилатацией баллоном 6,0-20мм. (Рис 10.) После предилатации баллоном 2,0-10(результат:остататочный стеноз70%) , выполнено стентиование клиноидного отдела правой ВСА баллонорасширяемым стентом 3,0-18мм., постдилатация 3,5-16мм. (Рис 8и9).
Больной переведен в БРИТ НО для дальнейшего лечения. Аспирин 100мг., антикоагулянты в течении 24ч. после ТЛТ не назначались, КТ в динамике. В течении 48ч. после операции наблюдался регресс неврологической симптоматики. При повторном КТ - данных за внутричерепное кровоизлияние нет. Пациент выписан с NIHSS 5баллов.
рис. 5 рис. 6

рис. 7 рис. 8

рис. 9 рис. 10
Комментарии.
Причиной ишемического инсульта у данного больного явился атеротромбоз. На фоне значимых сужений в интра- и экстракраниальных отделах произошел тромбоз ВСА справа. После реканализации и тромбоэкстракции, оставались значимые сужения, которые в дальнейшем могли бы спровоцировать повторную окклюзию ВСА. Было принято решение о стентировании как интракраниального, так и экстракраниального отделов ВСА с назначением аспирина 100мг.
Список литературы.
1. Покровский А.В. Клиническая ангиология. Руководство для врачей. - М.: Медицина. 2004. - Т. 1. - 808 с. 4. Тимина И.Е. Оценка результатов каротидной эндартерэктомии по данным ультразвуковых методов исследования // Ультразвук. и функционал. диагност. - 2004. - No 3. - С. 135-142.
2.Клинические рекомендации по внутрисосудистому лечению ишемического инсульта в остром периоде. Пленум Ассоциации нейрохирургов России., Санкт-Петербург, 2015г.
3. Российские клинические рекомендации по проведению тромболитической терапии при ишемическом инсульте. Всероссийское общество неврологов.
4. Шамалов, Н.А. Реперфузионная терапия при ишемическом инсульте в Российской
Федерации: проблемы и перспективы. Неврология, нейропсихиатрия, психосоматика.2014г
5. Baek, J.M., et al. Acute basilar artery occlusion: outcome of mechanical thrombectomy with
Solitaire stent within 8 hours of stroke onset. AJNR Am J Neuroradiol. 2014
May;35(5):989-993.
6. Kappelhof, M., et al. Intra-arterial treatment of patients with acute ischemic stroke and
internal carotid artery occlusion: a literature review. Journal of neurointerventional surgery.
2015 Jan;7(1):8-15.
7. Lee, M., et al. Efficacy of intra-arterial fibrinolysis for acute ischemic stroke: meta-analysis of
randomized controlled trials. Stroke. 2010 May;41(5):932-937.
8. Investigators, I.M.S.S. Combined intravenous and intra-arterial recanalization for acute
ischemic stroke: the Interventional Management of Stroke Study. Stroke. 2004
Apr;35(4):904-911.
9. 1. Суслина З.А., Пирадов М.А. Инсульт: диагностика, лечение, профилактика. - М.: Медпресс-информ, 2008. - С. 248.
RUS
ENG





Комментариев пока нет