Горбатых А. , 21/03/2016
Рубрика: Конкурс
Транскатетерная эмболизация большой коронарно-сердечной фистулы.
Горбатых А.В., Крестьянинов О.В., Сойнов И.А., Ничай Н.Р,Войтов А.В., Иванцов С.М.ФГБУ «ННИИПК им. акад. Е.Н. Мешалкина» Минздрава России
Абстракт
Коронарно-сердечные фистулы – редкий врожденный порок коронарной циркуляции. Как правило, течение порока благоприятное, однако при большой коронаро-правопредсердной фистуле возникает объемная перегрузка с прогрессирующей сердечной недостаточностью. Традиционно принято закрывать такие фистулы с помощью искусственного кровообращения. Мы представляем случай эндоваскулярного закрытия большой коронаро-правопредсердной фистулы.
Ключевые слова: Коронарно-сердечная фистула; врожденный порок сердца; транскатетерная эмболизация; аномалия коронарных сосудов
Введение
Коронарно-сердечные фистулы – редкий врожденный порок коронарной циркуляции. Течение коронарно-сердечной фистулы в большинстве случаев бессимптомное, а постановка диагноза, как правило, является диагностической находкой при выполнении ЭХО КГ, ангиографии, МРТ или КТ сердца [1]. Однако развитие частых осложнений синдрома «обкрадывания» коронарного кровотока, тромбоза и эмболия коронарного русла, прогрессирующей сердечной недостаточности, фибрилляция предсердий требует раннего оперативного вмешательства [2]. В настоящее время данная патология устраняется с помощью искусственного кровообращения [3]. Мы представляем успешный клинический случай эндоваскулярного закрытия коронаро-правопредсердной фистулы.
Клинический случай
Мальчик Е. 11 лет 29 кг, поступил в клинику с диагнозом коронарно-предсердная фистула с жалобы на одышку при физической нагрузке, быструю утомляемость. По данным рентгенографии грудной клетки СЛК 65%. Трансторакальное ЭХО КГ показало расширение устья и ствола левой коронарной артерии до 1 см, а также турбулентный поток в правом предсердии, по цветной доплерографии размер потока 4,8 мм, повышено расчетное давление в ЛА 48 торр. На МСКТ исследовании с контрастом, подтверждена коронаро-правопредсердная фистула. Диффузно расширенный сосуд 10,5х8,5 мм, отходил от левого синуса Вальсальвы, который имел U-образный изгиб от которого отходили Cx и LAD. Ретроаортально между восходящей аортой и левым предсердием расширенный сосуд дренировался в полость правого предсердия в виде двух теснорасположенных стволов диаметрами 7 мм и 6 мм.
Для дальнейшего исследования пациент направлен на катетеризацию сердца. Исследование выполнено на спонтанном дыхании, без кислорода. Сосудистый доступ осуществлялся через правую бедренную вену и левую бедренную артерию. Использовались диагностические катетеры 4 Fr Terumo. Контрастирована коронаро-правопредсердная фистула, выявлено максимальное расширение до 13 мм. При выполнении селективной коронарографии стенозирующей патологии коронарных артерий не выявлено. Определяется нормальная анатомия венозного возврата в истинный корорнарный синус, который расположен в правом предсердии. Давление в ПП 14/8(11) торр, в ПЖ 50/3(23) торр. Произведены заборы крови из камер сердца и магистральных сосудов на оксигинацию - Qp/Qs 1.6. (рис. 1).
Рис. 1: МСКТ коронаро-правопредсердной фистулы: А) трехмерная реконструкция КФ, краниальная проекция; B) контрастное МСКТ, прямая проекция, отношение фистулы и ЛКА; С) прямая проекция, показано место дренирования КФ двумя раздельными стволами в правое предсердие.

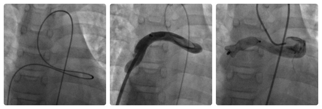
Через артериальным доступом проведен проводник Wishper 0.014" через фистулу в правое предсердие и НПВ, выполнен захват проводника ловушкой типа «лаcсо», проводник выведен через венозный доступ, таким образом сформирована артериовенозная петля. Венозным доступом по коронарному проводнику проведено доставочное устройство SFP8 Fr, по которому в фистулу доставлен PDA окклюдер «LifeTech» XJFD 1012.Окклюдер расположен в полости фистулы, проксимальнее деления фистулы на стволы, таким образом закрыт весь просвет фистулы. Контрольная ангиография показала минимальный сброс контраста через тело окклюдера. Давление в ПЖ 30/4 торр. Осложнений во время процедуры не было. Время операции 35 мин, рентгеноскопии 12 мин. (рис. 2).
Рис. 2: А) Сформирована «артериовенозная петля» для проведения системы доставки чрезвенозным доступом; B) доставочное устройство установлено в КФ; С) контрольная ангиография, PDA окклюдер полностью закрывает полость КФ.

На места сосудистых доступов наложены давящие повязки, после процедуры ребенок был доставлен в общее отделение, повязки были удалены через 12 часов. Аускультативно не определяется диастолического шума, а также по данным ЭХО КГ патологического сброса в ПП не выявлено, фистула закрыта герметично. Через 4 суток ребенок был выписан в удовлетворительном состоянии.
Через 6 месяцев после операции выполнено контрольное ЭХОКГ по данным которого: сбросов на уровне фистулы нет.
Дискуссия
Коронаро-правопредсердная фистула редкая врожденная патология, частота которой составляет 0,08-0,1% от всех врожденных пороков сердца. Первое описание этого порока сделала Krause 1865г. Первое успешное хирургическое лечение выполнили в 1947 г Bjork и Crafoord. Естественное течение порока, как правило, благоприятное, однако при большой коронаро-правопредсердной фистуле возникает объемная перегрузка с прогрессирующей сердечной недостаточности и легочной гипертензии. Поэтому отношение Qp/Qs более 1.5, как и при любых септальных дефектах, является абсолютным показанием к хирургическому лечению [4,5]. У пациента, описанного в нашем клиническом случае, имелись все признаки объемной перегрузки правых отделов сердца (СЛК 65%, давление в ПЖ 50/3(23) торр), отношение Qp/Qs составило 1,6, это и явилось для нас показанием к оперативному лечению. В настоящее время предложено множество способов закрытия коронарных фистул, от традиционного метода операции на открытом сердце в условиях ИК, до эмболизации клеевыми растворами небольших коронарных фистул [6]. Для определения выбора метода хирургической коррекции, мы провели МСКТ исследование и коронарографию. МСКТ исследование показало пространственное расположение коронарной фистулы с правым предсердием, а коронарография анатомию коронарного русла. Учитывая все преимущества эндоваскулярного лечения над операциями под ИК, мы выполнили эмболизацию коронаро-правопредсердной фистулы окклюдером PDA c хорошим клиническим и ангиографическим результатом. Проведя контрольное ЭХОКГ исследование через 6 месяцев, мы не обнаружили резидуальных шунтов.
Заключение
Наш клинический случай показывает, что при подходящей анатомии коронаро-правопредсердной фистулы эндоваскулярная эмболизация возможна и является безопасной процедурой.
- Wanes C.A., Williams R.G., Bashore T.M. et al. ACC/AHA 2008 Guidelines for the Management of adult with Congenital Heart Disease: report of the American College of Cardiology/American Heart Association Task Forse on Practice Guidelines (writing committee to develop guidelines on the management of adult with congenital heart disease). Circulation. 2008; 118 (23): 714–833.
- Chirantan V. Mangukia. Coronary artery fistula. Ann. Thorac. Surg. 2012; 93: 2084–92.
- Yorihiko Matsumoto, Takaya Hoashi, Koji Kagisaki, and Hajime Ichikawa. Successful surgical treatment of a gigantic congenital coronary artery fistula immediately after birth. Interact Cardiovasc Thorac Surg. 2012 Sep; 15(3): 520–522.
- Wang NK, Hsieh LY, Shen CT, Lin YM. Coronary arteriovenous fistula in pediatric patients: a 17-year institutional experience. J Formos Med Assoc 2002;101:177-82.
- Омельченко А.Ю., Ничай Н.Р., Горбатых Ю.Н. Миниинвазивные технологии закрытия дефектов межжелудочковой перегородки. // Патология кровообращения и кардиохирургия. 2015. № 1. С. 110–118.
- Karagoz T, Celiker A, Cil B, Cekirge S. Transcatheter embolization of a coronary fistula originating from the left anterior descending artery by using n-butyl 2-cyanoacrylate. CardiovascInterventRadiol 2004; 27: 663-5.
20/04/2016, Спицин С. И.
Очень хороший клинический случай. У меня вопрос: В литературе описаны лишь эмболизация не больших коронаро-правожелудочковых фистул тканевым клеем. В вашем случае это была большая фистула почему Вы выбрали эндоваскулярное вмешательство, а не открытую операцию?
20/04/2016, Medvedeva V. V.
Очень интересный случай!
Здравствуйте, подскажите пожалуйста какую антикоагулянтную терапию вы использовали в послеоперацинном пероде?
20/04/2016, Войтова Н. О.
Отличный результат. Какое количество пациентов в год к вам поступает с данной патологией? Всегда ли удается справится интервенционным методом?
21/04/2016, Горбатых А.
Здравствуйте, благодарю за проявленный интерес к нашему клиническому случаю.
Учитывая анатомию фистулы описанной в данном клиническом случае, выбор эндоваскулярного метода лечения был наиболее предпочтительным. В нашей клинике операции на открытом сердце выполняются в тех случаях, когда технически невозможно выполнить транскатетерную эмболизацию, например, маловесные пациенты, сложный ход фистулы, компроментация коронарных артерий при установке «плага» (при больших фистулах), риск тромбоза и т.д.
21/04/2016, Горбатых А.
Антикоагулянтную терапию п/о не назначем, только антиагриганты аспирин-кардио, тромбоАсс и т.д. доза 1-5 мл/кг. в сутки в течение 6 месяцев.
Во время операции гепарин 500 ед. (0,1 мл) на 10 кг.
21/04/2016, Горбатых А.
В целом коронаро-сердечные фистулы выявляются не редко, в основном это находка при коронарографии, примерно у 60% пациентов протекают без симптомов и не требуют вмешательства в связи с гемодинамически незначимыми размерами. В педиатрической группе так же не все диагностированные коронарно-сердечные фистулы требуют вмешательства. Для закрытия эндоваскулярным методом необходимо оценить анатомию, (ход фистулы), размер, коронарный возврат и соотношение коронарных артерий к фистуле, для того что бы избежать их сдавление, в случае закрытия «плагом».
21/04/2016, Спицин С. И.
Спасибо за ответ.
RUS
ENG





21/03/2016, Капустинский М. Н.
Отличный клинический случай!!!