Медицинские центры

Мобильное приложение

Карапетян Н. Г., 11/03/2016

Рубрика: Конкурс

Эндоваскулярное лечение окклюзии инфраренального отдела брюшной аорты.

 

Эндоваскулярное лечение окклюзии инфраренального отдела брюшной аорты
 

Папоян С.А., Квицаридзе Б.А., Красников А.П., Мутаев М.М., Радченко А.Н.

ГКБ им. Ф.И. Иноземцева Отделение сосудистой хирургии , Москва

 

•Пациент Ч. 66 лет.
•Жалобы при поступлении:  на боли в н/конечностях при ходьбе и в покое, наличие тяжелой сопутствующей тяжелой патологии (С-г простаты с МТS в кости) .
•Anamnesis morbi: Считает себя больными более 5 лет, когда возникли боли в н/конечностях по типу перемежающей хромоты.
•Дуплексное сканирование артерий н/конечностей: эхо признаки атеросклероза аорты, артерий н/конечностей, окклюзия терминального отдела аорты и подвздошных артерий с обеих сторон. 
•МСКТ аорты и артерий н/конечностей: КТ признаки окклюзии терминального отдела аорты и подвздошных артерий с обеих сторон.
•Диагноз: Атеросклероз артерий н/к. Окклюзия терминального отдела аорты, подвздошных артерий с обеих сторон.  ХИНК III ст. с 2-х сторон.
•ЛПИ: 0,2/0,2. 
 
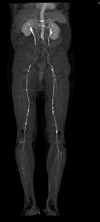
Пациент Ч.  МСКТ 
 
 
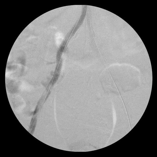
Субинтимальная реканализация
 
 
 
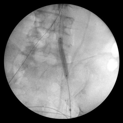
Киссинг  аорты и дополнительное  стентирование подвздошных артерий
 
 
 
 
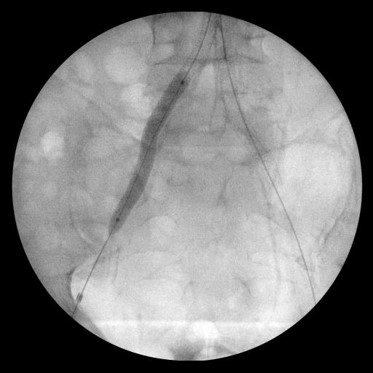
Непосредственный результат.
 ЛПИ: 0,8/0,8
 
 
 
Отдаленный результат через 1 год
 
 
 
 
 
 
 
 
 
 
 
 
 
 
 
 
 
 
 
 
 
 
 
 
 
 
 

Комментариев пока нет