Карапетян Н. Г., 11/03/2016
Рубрика: Конкурс
Командный подход при имплантации рессинхронизирующих устройств в лечение пациентов с ХСН
СПБ ГБУЗ ГБ№40 (СПб, г. Сестрорецк, ул.Борисова д. 9. Главный врач проф.С.Г. Щербак), отделение рентгенэндоваскулярных диагностики и лечения (зав. к.м.н. С.В. Власенко)
Оперирующая бригада:
Осадчий Ан.М., к.м.н., врач по рентгенэндоваскулярным диагностике и лечения (ответственное лицо, тел. 89052588338; an_osadchy@mail.ru)
Каменев А.В., м.н.с., врач сердечно-сосудистый хирург
Агарков М.В., врач по рентгенэндоваскулярным диагностике и лечения
Хильчук А.А., врач по рентгенэндоваскулярным диагностике и лечения
Командный подход при имплантации рессинхронизирующих
устройств в лечение пациентов с ХСН
Сердечная ресинхронизирующая терапия это доказанный и эффективный способ коррекции хронической сердечной недостаточности (ХСН) [1,2]. Асинхронное миокардиальное сокращение неблагоприятно влияет на насосную функцию левого желудочка (ЛЖ), увеличивая объем и степень митральной регургитации (МР) ЛЖ, и связана с плохим прогнозом [1]. Однако применение СРТ не всегда дает ожидаемых клинических результатов, а у 25% пациентов нет должного ответа, причиной чего может быть неоптимальное расположение ЛЖ электрода, отсутствие постоянной бивентрикулярной ЭКС, низкий миокардиальный резерв, рубцовые изменения ЛЖ, а так же неадекватно подобранные параметры программирования [1,2,3].
Нами представлен клинический случай использования комплексного подхода в лечение пациента с ХСН впервые выполненный в Северно-Западном Федеральном округе РФ.
Пациент 52 лет поступил на отделение кардиологии в плановом порядке для хирургического лечения систолической дисфункции левого желудочка с ХСН на уровне 3-4 ф.к. (NYHA) – ТШХ-70 м. При поступлении был выставлен диагноз: основной – Дилатационная кардиомиопатия. Гипертоническая болезнь II стадии, достигнутая степень артериальной гипертензии 1, риск сердечно-сосудистых осложнений 4 (крайне высокий); осложнения – Хроническая сердечная недостаточность 3 ФК (NYHA). Частая желудочковая экстрасистолия, пробежки ЖТ. МЭС +/–; сопутствующий – ДУЗ. Эутиреоз.
При поступлении активно жалоб не предъявлял, эпизодически отмечал перебои в работе сердца, одышку и слабость, головокружения. Страдает перебоями в работе сердца более года, при приеме препаратов для лечения ХСН и антиаритмических препаратов должного эффекта не отмечалось. По ЭКГ на фоне синусового ритма с ПБЛНПГ (QRS-220 мс) регистрировалась желудочковая экстрасистолия (ЖЭ) по типу бигемении. По данным 12 канального Суточного монитора ЭКГ – на фоне синусового ритма и ПБЛНПГ выявлена мономорфная экстрасистолия в количестве не более 1000, преимущественно левожелудочковой локализации, пробежки неустойчивой ЖТ.
Больному проводилась ангиокоронарография с венозной фазой (по предложенной нами ранее методике) – ангиографических признаков поражения коронарных сосудов не выявлено, при венозной фазе доступна задняя вена ЛЖ-обращает на себя внимание её диаметр более 4 мм [].
По данным ЭХО КГ с тканевой доплерографией миокарда – систолическая функция сердца снижена (ФВ-22%), камеры расширены (КДДЛЖ-84 мм, ЛПоб-90 мл, иобЛП-67), клапанный аппарат- МН 2 ст., ТН 1 ст., ЛГ 1 ст. (44 мм.рт.ст.), умеренная ГЛЖ, выявлена значимая МЖМЗ (68) и ВЖД с максимальной задержкой на задней стенки в срединных сегментах ЛЖ (220). При до обследовании выполнен весь спектр необходимых клинико-лабораторных исследований, патологии не выявлено. Гормоны щитовидной железы в норме. С учетом неэффективности медикаментозной терапии ХСН, наличие нарушений ритма сердца, прогрессирование ХСН и частые госпитализации и риск ВСС было принято решение об имплантации СРТ-D устройства.
19.08.2015 выполнена попытка имплантации СРТ-D устройства, имплантировать ЛЖ электрод в заднею вену сердца не представилось возможным ввиду многократных смещений ЛЖ электрода в КС. Через 7 дней, вторым этапом, аритмологами и ренгенхирургами принято решение о имплантации ЛЖ электрода в заднюю вену ЛЖ с фиксирующим стентированием ЛЖ электрода в задней вене ЛЖ. Под м/а выполнен разрез в левой подключичной области по п/о рубцу. Выделен и выведен в рану ИКД. Пунктирована подключичная вена из раны. Желудочковый дефибриллирующий электрод активной фиксации позиционирован и вкручен в область МЖП 15 мV (с целью достаточного межэлектродного расстояния) [3], порог стимуляции желудочков 0,8 мА. В ПП по системе доставки доставлен катетер для КС, установлен в КС. Выполнена ангиография коронарного синуса (рис.1) – доступна единственная задняя вена ЛЖ, размером более 4 мм. ЛЖ электрод заведен через систему доставки и установлен в заднюю вену ЛЖ по коронарному проводнику. Порог стимуляции ЛЖ-2.0 мА, порог чувствительности 16.6 мВ. Стимуляции диафрагмального нерва нет. При попытке удаления системы доставки, последний дислоцируется в КС. Множественные попытки имплантации ЛЖ электрода безуспешны в связи с дислокацией последнего. При имплантации в дистальное русло порог ЭКС >6мА. ЛЖ электрод установлен в дистальное русло ЗВЛЖ по коронарному проводнику. Принято решение о фиксирующем стентирование ЛЖ электрода в ЗВЛЖ. Под м/а пунктирована v.f.s., установлен интродьюсер 6 Fr. К устью КС подведен проводниковый катетер JR4 6FR. В дистальное русло ЗВЛЖ проведен коронарный проводник (рис.2). По проводнику в ЗВЛЖ заведен стент 4.5-16 mm, выполнена имплантация (рис.3). При контрольной ангиографии диссекций не выявлено, стент расправлен полностью. Под контролем Rg-скопии и на раздутом баллоне удалена система доставки ЛЖ электрода, ЛЖ электрод стабилен (рис.4), порог ЭКС-0.8 мА (до стентирования 1,5 мА), сенсинг 10 мВ. Электроды фиксированы в ране. Подключен CRT-D и помещен в прежнее ложе над грудными мышцами. На ЭКГ эффективная бивентрикулярная стимуляция.
Пациент был осмотрен через 1,5 месяца после операции, отмечает улучшение общего состояния, ТШХ-300 м, при программирование нарушений в работе ЭКС не выявлено, отмечается 100% P-синхронизированная бивентрикулярная ЭКС, пороги ЭКС на A/RV/LV – 0,7/0,9/0,8 мА, импеданс, сенсинг в норме. По данным ЭХО КГ ФВ-27%, КДДЛЖ-76мм; по ЭКГ длительность QRS-136 мс.
При выполнении данных методов лечения возможен и эффективен метод фиксирующего стентирования ЛЖ электрода, что определяет использование мультидисциплинарного подхода с применением необходимого оборудования и инстументария, что возможно в современном оснащенном многопрофильном стационаре. Данный подход позволяет расположить электрод в зоне поздней механической активации (максимальной ВЖД) и добиться приемлемых электрических показателей, избежать стимуляции диафрагмального нерва и дальнейших дислокаций. Рядом авторов доказана эффективность и безопасность данной методике и она может быть альтернативной при сложностях имплантации ЛЖ электрода и позволяет избежать необходимость открытой хирургии у данной тяжелой категории пациентов [5,6].

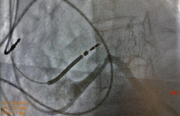
Рис.1. Рентгеновский стоп-кадр при контрастирование коронарного синуса. Диаметр «единственной» задней вены был более 4 мм и соответствовал диаметру коронарного синуса.

Рис.2. Рентгеновский стоп-кадр при контрастирование коронарного синуса и проведение коронарного проводника в «целевую» вену.

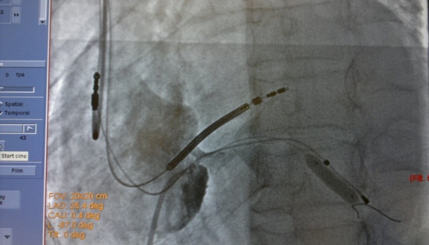
Рис.3. Рентгеновский стоп-кадр при имплантации стента в заднюю вену ЛЖ для фиксации левожелудочкового электрода. Наиболее оптимальное расположение ЛЖ электрода.

Рис.4. Финальный рентгеновский стоп-кадр после удаления баллона, проводника и системы доставки ЛЖ-электрода. После фиксации электрода стентом отмечается снижения порога ЭКС на LV электроде до 0,8 мА.
Список литературы:
- Клинические рекомендации Всероссийского научного общества специалистов по клинической электрофизиологии, аритмологии и кардиостимуляции по проведению клинических электрофизиологических исследований, катетерной аблации и имплантации антиаритмических устройств.-ВНОА. М.: Новая редакция, 2011. – 518 с.
- Chung ES, Leon AR, Tavazzi L, et al. Results of the Predictors of Response to CRT (PROSPECT) trial // Circulation. 2008; 117(20): 2608-2616.
- Kirk JA, Kass DA. Electromechanical dyssynchrony and resynchronization of the failing heart // Circ Res. 2013;113(6): 765-776.
- Ан.М. Осадчий, И.Н. Качанов, Е.А. Шлойдо, В.К. Сухов, Д.С. Лебедев. Выбор хирургического доступа для имплантации левожелудочкового электрода по данным продленной коронароангиографии. // Вестник Хирургии им. И.И. Грекова. – 2011. Том 170. №3. С 11-16.
- Gellér L., Szilágyi S., Zima E. et al. Long-term experience with coronary sinus side branch stenting to stabilize left ventricular electrode position. Heart Rhythm 2011;8:845—850.
- Szilagyi S., Merkely B., Roka A. et al. Stabilization of the coronary sinus electrode position with coronary stent implantation to prevent and treat dislocation. J Cardiovasc Electrophysiol 2007;18:303—307.
RUS
ENG





Комментариев пока нет